Vivaglass CEM
媒体库
临床病例
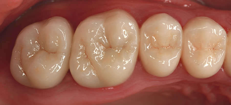
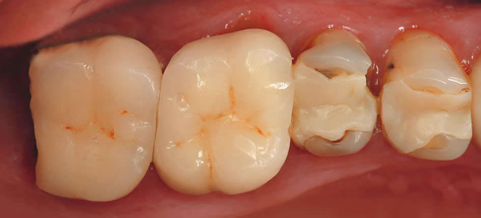
Pre-operative situation
Dentist Dr. Andreas Kurbad
临床附件
OptraGate
OptraGate is an auxiliary aid that enables the treatment field to be enlarged easily, effectively and comfortably. It allows lips and cheeks to be retracted completely and ensures relative isolation.
巴西
加拿大
哥伦比亚
墨西哥
美国
法国
德国
奥地利
瑞士
列支敦士登
意大利
波兰
俄罗斯
西班牙
土耳其
英国
澳大利亚
印度
日本
新西兰
韩国