Регион/Страна:
RU
Язык:
русский (RU)
Multilink Speed
Разделы
Медиа галерея
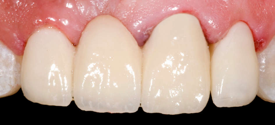
Клинический случай
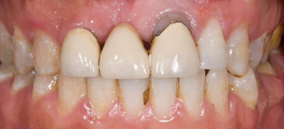
Ситуация до лечения
Мостовидный протез из IPS e.max Press фиксируются на Multilink Speed, Dr. Eduardo Mahn, Las. Condes, Santiago/Chile
Изображение продукта
Multilink Speed
Клинические аксессуары
OptraGate
OptraGate это вспомогательное средств, позволяющее расширить операционное поле легко, функционально и комфортно для пациента. Оно позволяет отодвинуть губы и щеки полностью и обеспечивает относительную изоляцию.
Индивидуальное сопроводительное письмо
Создайте Ваше сопроводительное письмо для Вашей реставрации, а также таблицу инструкций по оптимальной фиксации.
Мы подготовили для Вас черновик, который Вы можете адаптировать по желанию, а также добавить свой логотип.
Если Вы не хотите создавать сопроводительное письмо, просто нажмите на "создать таблицу инструкций"
Бразилия
Канада
Колумбия
Мексика
Соединенные Штаты
Франция
Германия
Австрия
Швейцария
Лихтенштейн
Италия
Польша
Россия
Испания
Турция
Великобритания
Австралия
Индия
Япония
Новая Зеландия
Республика Корея