Регион/Страна:
RU
Язык:
русский (RU)
Variolink N
Разделы
Медиа галерея
Изображение продукта
Variolink N Base
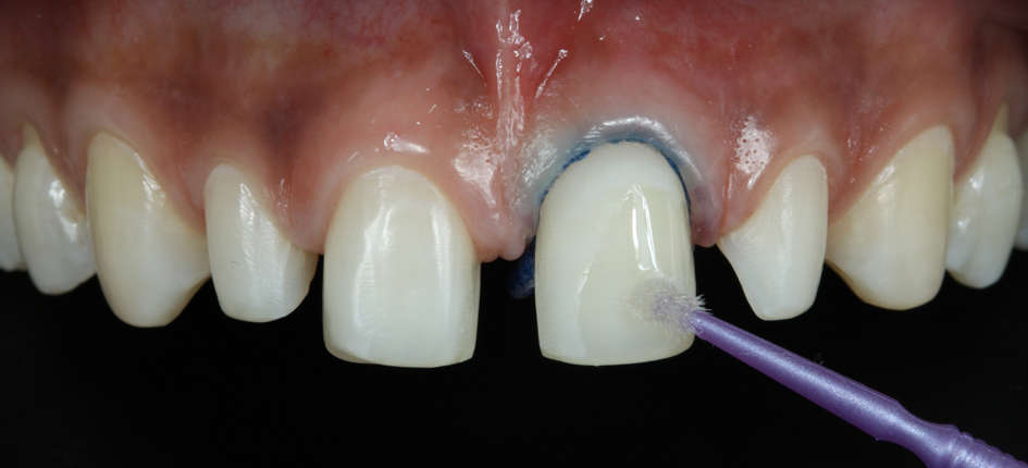
Клинический случай
Ситуация до лечения
Виниры из IPS e.max Press фиксируются на Variolink N, Dr. Roberto M. Yoshida Jr, Londrina, Brazil
Клинические аксессуары
OptraGate
OptraGate это вспомогательное средств, позволяющее расширить операционное поле легко, функционально и комфортно для пациента. Оно позволяет отодвинуть губы и щеки полностью и обеспечивает относительную изоляцию.
Индивидуальное сопроводительное письмо
Создайте Ваше сопроводительное письмо для Вашей реставрации, а также таблицу инструкций по оптимальной фиксации.
Мы подготовили для Вас черновик, который Вы можете адаптировать по желанию, а также добавить свой логотип.
Если Вы не хотите создавать сопроводительное письмо, просто нажмите на "создать таблицу инструкций"
Бразилия
Канада
Колумбия
Мексика
Соединенные Штаты
Франция
Германия
Австрия
Швейцария
Лихтенштейн
Италия
Польша
Россия
Испания
Турция
Великобритания
Австралия
Индия
Япония
Новая Зеландия
Республика Корея