Region/Kraj:
PL
Język:
polski (PL)
Multilink Automix
Działy
Pobierane
Galeria mediów
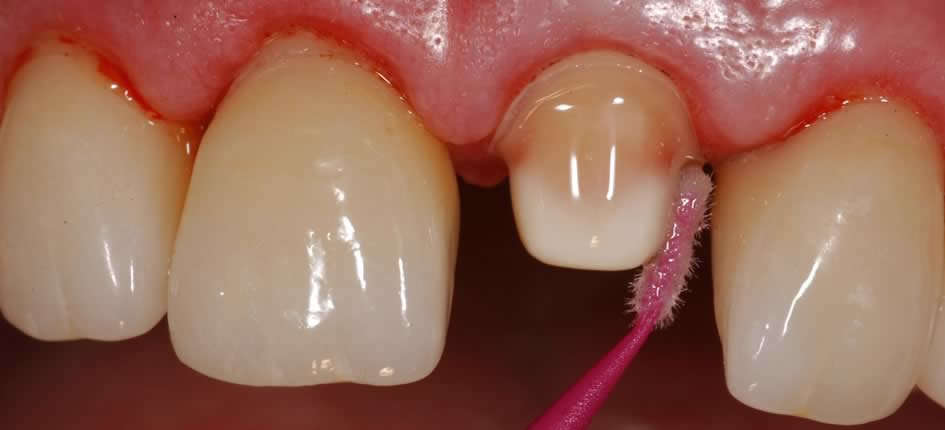
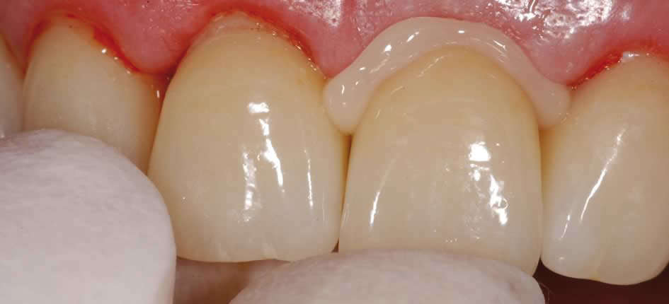
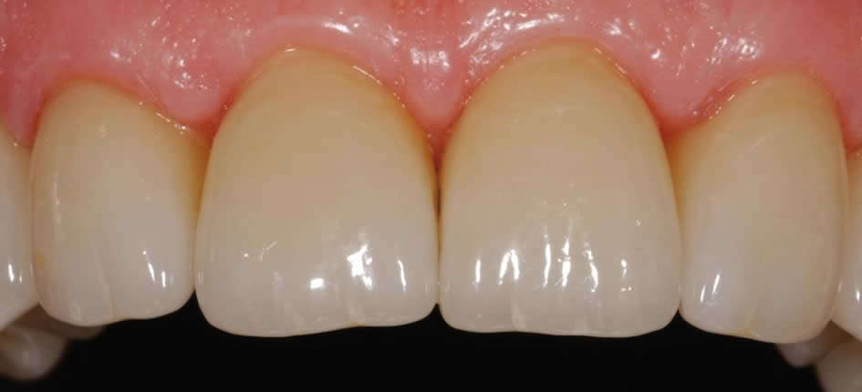
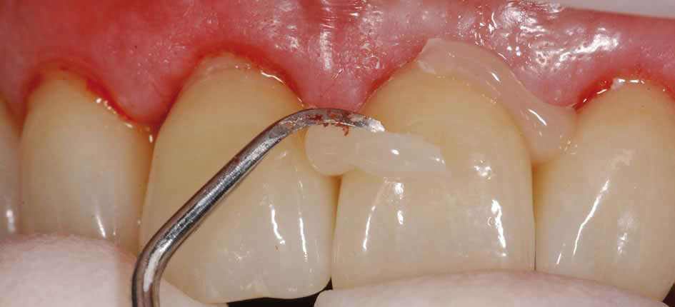
Sytuacja kliniczna
Sytuacja przed cementowaniem
IPS e.max crown, Multilink Automix Dentist Ronny Watzke, Dental technician Franz Perkon
Zdjęcia produktu
Multilink Automix
Akcesoria pomocnicze
OptraGate
OptraGate zapewnia wygodny dostęp do jamy ustnej i w ten sposób ułatwia i przyśpiesza pracę podczas leczenia stomatologicznego. Odsuwając policzki i wargi pacjenta czyni pracę bardziej komfortową, zapewniając przy tym także względną suchość pola operacyjnego.
Multilink Automix - Cementowanie korony wykonanej z IPS e.max CAD
Multilink Automix - Cementowanie koron wykonanych z IPS e.max Press
Indywidualny list motywacyjny
Utwórz indywidualny list motywacyjny dla Twojego uzupełnienia razem z instrukcją dotyczącą
optymalnego sposobu cementowania.
Przygotowaliśmy projekt, który można dostosować do własnych potrzeb, a także dodać logo.
Jeśli nie chcesz tworzyć indywidualnych listów motywacyjnych, kliknij "wygeneruj arkusz instrukcji".
Brazylia
Kanada
Kolumbia
Meksyk
Stany Zjednoczone
Francja
Niemcy
Austria
Szwajcaria
Liechtenstein
Włochy
Polska
Rosja
Hiszpania
Turcja
Wielka Brytania
Australia
Indie
Japonia
Nowa Zelandia
Korea Południowa