Région/Pays:
FRENCH
Langue:
français (FR)
Variolink N LC
Chapitres
Téléchargements
Gallerie média
Cas clinique
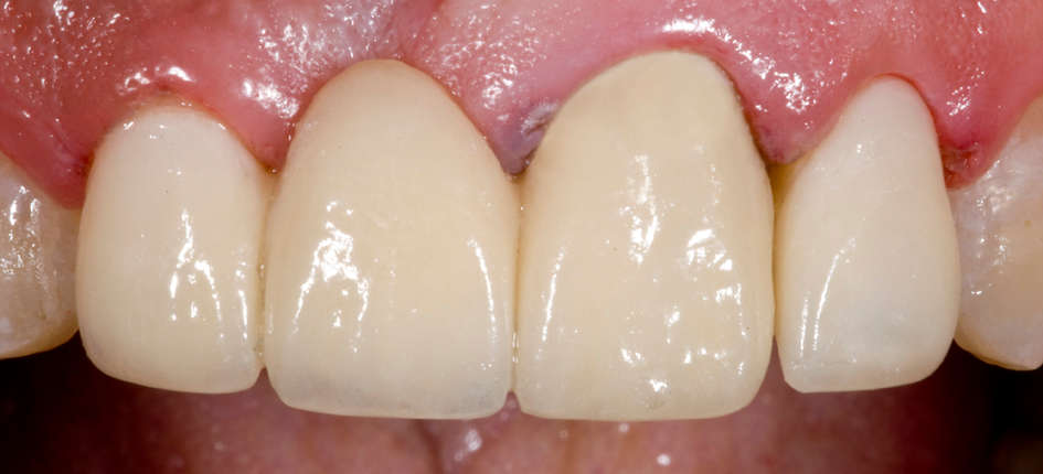
Situation initiale
Facette en IPS e.max Press veneer collées avec Variolink N LC, Dr. Eduardo Mahn, Las. Condes, Santiago/Chile
Photos produits
Variolink N LC
Accessoires pour le cabinet
OptraGate
OptraGate est un accessoire permettant d'élargir le champ opératoire en rétractant compltement les lvres et les joues, et d'obtenir une isolation relative.
Lettre de présentation individualisée
Créez votre propre lettre de présentation pour accompagner les restaurations réalisées d'une
fiche contenant les instructions sur la meilleur méthode de collage. Nous avons déjà préparé une
ébauche que vous pouvez modifier et ajuster selon vos souhaits. Il est aussi possible d'ajouter
votre logo.
Si vous ne souhaitez pas créer de lettre d'accompagnement individualisée, cliquez simplement sur
"Fiche d'instruction".
Brésil
Canada
Colombie
Mexique
États-Unis
France
Allemagne
Autriche
Suisse
Liechtenstein
Italie
Pologne
Russie
Espagne
Turquie
Royaume-Uni
Australie
Inde
Japon
Nouvelle-Zélande
Corée du Sud