Région/Pays:
FR
Langue:
français (FR)
Vivaglass CEM
Chapitres
Téléchargements
Gallerie média
Cas clinique






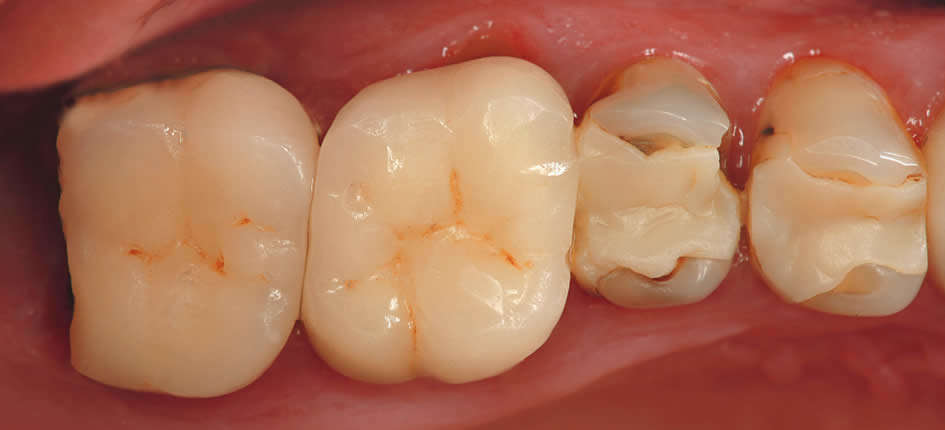
Situation initiale
Dentist Dr. Andreas Kurbad
Photos produits



Vivaglass CEM Assortiment
Accessoires pour le cabinet











OptraGate
OptraGate est un accessoire permettant d'élargir le champ opératoire en rétractant complètement les lèvres et les joues, et d'obtenir une isolation relative.
Lettre de présentation individualisée
Créez votre propre lettre de présentation pour accompagner les restaurations réalisées d'une
fiche contenant les instructions sur la meilleur méthode de collage. Nous avons déjà préparé une
ébauche que vous pouvez modifier et ajuster selon vos souhaits. Il est aussi possible d'ajouter
votre logo.
Si vous ne souhaitez pas créer de lettre d'accompagnement individualisée, cliquez simplement sur
"Fiche d'instruction".