Provincia/País:
ES
Idioma:
español (ES)
SpeedCEM Plus
Capítulos
Galería de imágenes
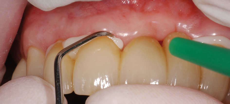
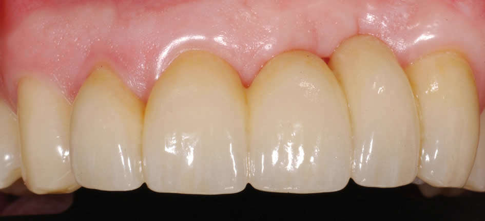
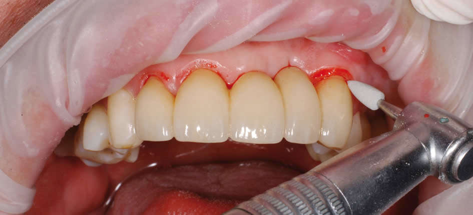
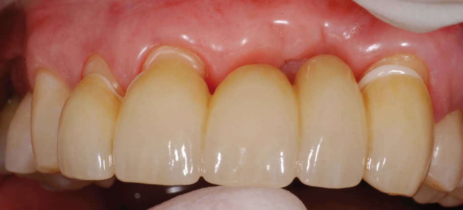
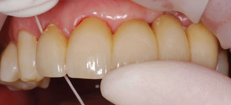
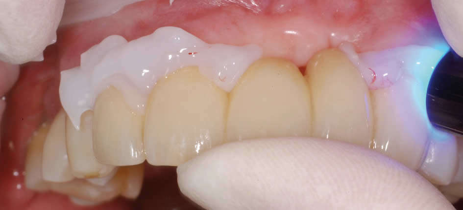
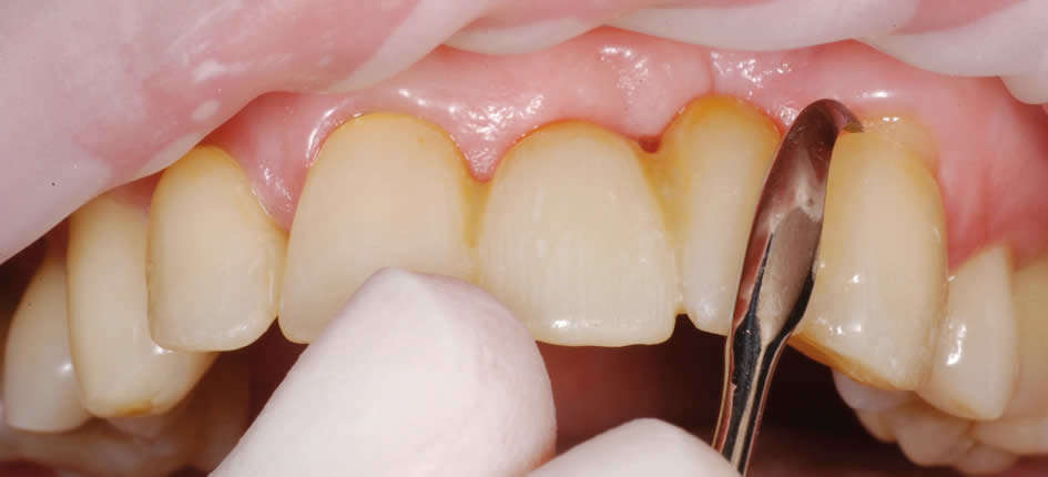
Caso clinico
Eliminación de la restauración provisional
IPS e.max ZirCAD/ZirPress bridge, SpeedCEM Plus Dentist Ronny Watzke, Dental technician Pascal Scherer
Imágenes de productos
SpeedCem Plus
Accesorios clinica
OptraGate
OptraGate es un instrumento auxiliar que permite ampliar el campo tratamiento de forma fácil, efectiva y cómoda. Permite retraer completamente los labios y mejillas y asegurar un drenaje considerable.
Carta individualizada
Crea su propia carta individualizada para acompañar la restauración creada en su laboratorio,
junto con las instrucciones para una cementación óptima. Hemos preparado un borrador que usted
podrá ajustar en función de sus necesidades, además de poder insertar su logo.
Si no desea crear una carta personalizada tan solo clicar en "generar hoja de instrucciones"
Brasil
Canadá
Colombia
México
Estados Unidos
Francia
Alemania
Austria
Suiza
Liechtenstein
Italia
Polonia
Rusia
España
Turquía
Reino Unido
Australia
India
Japón
Nueva Zelanda
Corea del Sur