Region/Country:
OTHER-EU
Language:
English (EN)
Multilink Automix
Chapters
Downloads
Media Gallery
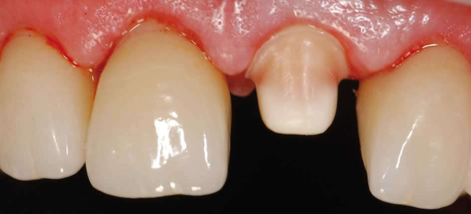
Clinical Case









Pre-operative situation
IPS e.max crown, Multilink Automix Dentist Ronny Watzke, Dental technician Franz Perkon
Product Images







Multilink Automix
Clinical Accessories











OptraGate
OptraGate is an auxiliary aid that enables the treatment field to be enlarged easily, effectively and comfortably. It allows lips and cheeks to be retracted completely and ensures relative isolation.
Individual cover letter
Create your own cover letter to accompany your fabricated restoration together with the
instructions sheet on optimum cementation.
We have already prepared a draft which you can adjust according to your wishes and also add your
logo.
If you do not wish to create an individual cover letter just click on "generate the instruction
sheet".