Region/Land:
JP
Sprache:
Deutsch (DE)
Vivaglass CEM
Kapitel
Downloads
Medien-Galerie
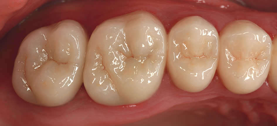
Klinischer Fall
Ausgangssituation
Zahnarzt Dr. Andreas Kurbad
Produktabbildungen
Vivaglass CEM Assortment
Klinisches Zubehör
OptraGate
OptraGate ist ein Hilfsmittel zur einfachen, wirkungsvollen und patientenfreundlichen Erweiterung des Behandlungsraumes. Er dient der zirkulären Abhaltung von Lippen und Wangen sowie der relativen Trockenlegung.
Individuelles Begleitschreiben
Gestalten Sie hier ein Begleitschreiben für die Übersendung der von Ihnen erstellten
Restauration gemeinsam mit der Anleitung zur optimalen Eingliederung an Ihren Zahnarzt-Kunden.
Wir haben für Sie bereits einen Entwurf erstellt, den Sie nach Ihren Wünschen ergänzen und mit
Ihrem Logo versehen können.
Möchten Sie kein Begleitschreiben erstellen, klicken Sie einfach auf «Anleitung generieren»
Brasilien
Kanada
Kolumbien
Mexiko
Vereinigte Staaten
Frankreich
Deutschland
Österreich
Schweiz
Liechtenstein
Italien
Polen
Russland
Spanien
Türkei
Vereinigtes Königreich
Australien
Indien
Japan
Neuseeland
Südkorea